本文へスキップ

フレキシブル義歯は金具が無い曲がる入れ歯で年齢を気にせず使えます。

電話でのご予約・お問い合わせはTEL.03-3451-0840

〒106-0045 東京都港区麻布十番2−12−7ラポール麻布十番6F

金具が無いフレキシブル義歯

年齢を気にせず使える入れ歯

入れ歯の金具・気になりませんか?
金具バネを使わない新しい入れ歯です。口元が綺麗で気づかれません。
プラスチックより柔らかく口に中で馴染みます。

金具の無い入れ歯・曲がる入れ歯・一本でも可能 金具の無い部分入れ歯・曲げた状態

柔軟性のある入れ歯です。保険適応の入れ歯とは異なります。欧米を中心に実績がある審美性と機能性を兼ね備えた今までにない発想の入れ歯です。従来型では金具(バネ)で支えるものが主流でしたが、入れ歯も進化し次世代型は金具(バネ)を使いません。フレキシブル義歯もその一つで、金具を必要としません。

金具がないので歯に加わる負担が軽減されるほか、面倒なお手入れも無くいたって簡単です。食後は洗って定期的に洗浄剤につけるだけです。

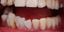
下顎の奥歯


保険のプラスチック入れ歯と金具一般的な保険で作ったプラスチックの入れ歯です。左右の金具バネが目立ちます。




下顎に金具の無い入れ歯・フレキシブル義歯金具の無いフレキシブル義歯を装着。目立つ金具がなくなり口元がスッキリ綺麗になりました。金具がなく柔らかいので装着は簡単です。歯茎ごと押さえる構造で、歯に加わる負担も軽減されます。



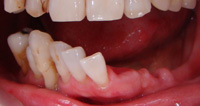
上下の奥歯


上下の奥歯に入れ歯装着上下の奥歯が欠損したケース
金具が付くと目立ちます。




上下の奥歯に金具の無い入れ歯・ノンクラスプデンチャー上下に金具の無い部分入れ歯・フレキシブル義歯を装着した状態。口元が気になりません。





前歯と奥歯


前歯と奥歯が無い状態・入れ歯前歯と左右の奥歯が欠損しています。





金具が無い部分入れ歯を入れた状態金具バネを使わないフレキシブル義歯でスッキリ快適です。基本的に歯は削りません。金具がなくピッタリフィットします。



歯の加工は基本的に必要ありません。普通の入れ歯は弾性のない樹脂でしたが、この入れ歯はカーボネイトやスーパーポリアミドという優れた素材を使用します。この素材は弾性に優れ、金具がないため見た目に美しく、金属タイプや差し歯タイプの入れ歯に比べ安価です。



柔らかいタイプ


柔らかな入れ歯・ソフトデンチャー金具の無いソフト義歯です。食感はもちろん見た目も良いので快適です。






やわらかな入れ歯・ソフト義歯・東京都港区麻布十番ソフト義歯は、歯ぐきに接触する内面に特殊加工した入れ歯です。弾力性のある軟性樹脂(シリコン状の素材)を使用しているため、歯ぐきに加わる負担を軽減させ、痛みを感じません。





全体がゴムのような柔らかさではありません。入れ歯が柔らかすぎると噛む力で変形するため、食事をする際には力が入らず不便になります。ある程度の硬さは必要になります。


注意


保険は適用されません。
ご希望の入れ歯が可能かどうかは検査が必要です。
歯の状態によっては使用できないこともあります。







白宝デンタルクリニック白宝デンタルクリニック

〒106-0045
東京都港区麻布十番2−12−7ラポール麻布十番6F
TEL 03-3451-0840

ネット予約・24時間受付