電話でのご予約・お問い合わせはTEL.03-3451-0840
〒106-0045 東京都港区麻布十番2−12−7ラポール麻布十番6F
一般的な入れ歯とは違います。金属やアタッチメントなどの変形しない素材を使い、薄く小さい入れ歯を作ることができます。入れ歯は口内に装着するものですから、薄ければ薄いほど、小さければ小さいほど、付け心地に違和感がなく、快適に過ごせます。当院では技術力の高い東京都内有数の技工ラボで製作します。
ミニSGアタッチメントシステム
マルチコンシステム
コーヌスアタッチメントシステム
チャンネルショルダーシステム
スイングロックシステム
審美性も考慮されています。
目立つ金具(バネ)がないので、人目を気にせずにすみます。
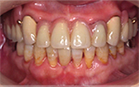
上顎が全体的にない状態です。通常は大きな総入れ歯になりますが、アタッチメントを用いて小型化します。







入れ歯特有の金具のかわりに、小型磁石が埋め込まれています。金具がないので、とても自然です。人目も気にならないでしょう。
最も強力なネオジューム磁石でな所定の位置に「カチッ」と装着。
通常の入れ歯よりも、取り外しもカンタン!
支えている歯の負担を大幅に軽減出来ます。
〒106-0045
東京都港区麻布十番2−12−7ラポール麻布十番6F
TEL 03-3451-0840
ネット予約・24時間受付